모범댁시의 주연배우 이제훈이 허혈성 대장염으로 인한 응급 수술로 제28회 부산국제영화제(BIFF) 개막식 사회 불참 소식을 전하면서 해당 질환에 대한 관심이 높아지고 있습니다.
소속사 컴퍼니온 측은 "이제훈이 새벽녘 갑작스러운 복통을 호소에 인근 병원으로 이송 됐고, 허혈성 대장염 진단으로 응급 수술까지 받았다. 현재 병원에 입원해 추이를 지켜보며 회복 중인 상황이다"라고 전했습니다.

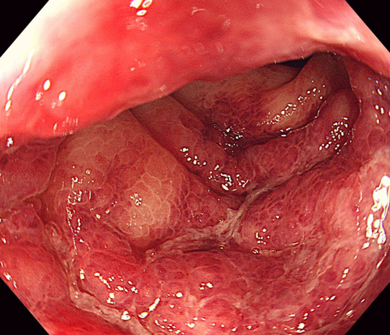
허혈성 대장염은 대장 내 혈액 공급이 일시적 또는 지속적 감소하거나 차단되어 대장 조직에 손상을 일으키는 질환으로 일반적으로 대장의 내막 부분에 영향을 주며 증상은 가벼운 복통에서 중증 대장염으로 범위가 다양하다고 하는데 이제훈의 상태는 가볍지 않았다고 합니다.
허혈성 대장염은 많이 못들어본 병명인데 오늘은 허혈성 대장염에 대해서 알아보도록 하겠습니다.
허혈성 대장염이란?
허혈성 대장염, 또는 영어로 Ischemic Colitis이며, 소화관 질환 중 하나로, 대장의 특정 부분에 혈액 공급이 감소하거나 차단되어 발생하는 상태입니다. 이러한 혈액 공급 부족은 대장의 점막에 손상을 일으키고 염증을 유발할 수 있으며, 병력이 있는 경우 치료가 필요할 수 있습니다.


허혈성 대장염의 원인
허혈성 대장염은 대장의 혈액 공급이 일시적으로 차단되거나 감소할 때 발생합니다. 주요 원인은 다음과 같습니다:
- 혈전 : 혈전은 혈관을 차단하고 혈액 흐름을 방해할 수 있습니다. 혈전이 대장 혈관을 차단하면 해당 부분의 혈액 공급이 끊어져 허혈성 대장염이 발생할 수 있습니다.
- 혈관 협착 : 혈관 협착은 혈관의 내부 지질 증가로 인해 혈액 흐름이 제한될 때 발생할 수 있습니다. 이로 인해 대장의 일부 지역에서 혈액 공급이 감소하게 됩니다.
- 혈압 하강 : 저혈압 상태는 혈액을 충분히 대장에 공급하지 못할 수 있으며, 허혈성 대장염의 위험을 증가시킬 수 있습니다.


허혈성 대장염의 증상
허혈성 대장염의 증상은 다양할 수 있으며, 중등도의 증상에서 심한 증상까지 범위가 다릅니다. 일반적인 증상은 다음과 같습니다:
- 복통 : 가장 흔한 증상 중 하나로 복통이 있습니다. 복통은 대부분 복 하단에서 나타나며 가끔은 심할 수 있습니다.
- 설사 : 설사는 허혈성 대장염 환자에서 자주 나타나는 증상 중 하나입니다.
- 피혈변 : 혈변은 대장 내 염증으로 인해 발생할 수 있으며, 주요 증상 중 하나입니다.
- 복부 부종 : 복부 부종은 대장의 염증으로 인해 발생할 수 있으며, 가스 축적으로 인해 복부가 팽창할 수 있습니다.

허혈성 대장염의 진단
허혈성 대장염을 진단하기 위해서는 다음과 같은 단계가 포함될 수 있습니다:
- 의료 기록 확인 : 환자의 의료 기록을 확인하고 증상 및 기존 질환에 대한 정보를 수집합니다.
- 신체 검사 : 의사는 환자의 복부를 조사하고 다른 신체 검사를 수행하여 대장염의 징후를 확인합니다.
- 영상 검사 : 영상 검사로 대장 내 상태를 확인할 수 있으며, 대장 내 혈액 공급 부족 부위를 식별하는 데 도움이 됩니다.
- 대장 내시경 : 대장 내시경을 통해 대장 내부를 직접 확인하고 조직 샘플을 채취하여 진단을 확인할 수 있습니다.
허혈성 대장염의 치료
허혈성 대장염의 치료는 증상의 심각성과 원인에 따라 다를 수 있으며, 주요 치료 옵션은 다음과 같습니다:
1. 휴식 : 가벼운 증상의 경우, 휴식을 취하고 약물 치료 없이 회복될 수 있습니다.
2. 약물 치료 : 의사의 처방에 따라 염증 및 증상을 관리하기 위한 약물을 복용할 수 있습니다.
3. 수술 : 심각한 경우 대장의 일부를 제거해야 할 수 있으며, 이를 위해 수술이 필요할 수 있습니다.
허혈성 대장염의 예방법
허혈성 대장염을 예방하기 위해서는 다음과 같은 조치를 고려할 수 있습니다:
1. 건강한 식습관 : 고 영양소 식품을 섭취하고 건강한 식습관을 유지합니다.
2. 운동 : 규칙적인 운동은 혈액 순환을 개선하고 대장 건강을 촉진할 수 있습니다.
3. 금연 : 흡연은 혈관을 손상시키므로 금연이 중요합니다.
허혈성 대장염 식사법
허혈성 대장염은 대장 내부의 혈액 공급이 부족하여 발생하는 염증성 질환입니다. 이런 상황에서는 적절한 식사 습관을 가지는 것이 중요합니다. 아래는 허혈성 대장염 환자를 위한 식사법에 관한 일반적인 지침입니다:
- 고섬유 식품 섭취: 식이섬유는 대장 건강에 도움을 줄 수 있습니다. 과일, 채소, 견과류, 곡물 등의 고섬유 식품을 먹어 소화와 변비를 완화할 수 있습니다.
- 물 섭취: 충분한 물을 마시는 것이 중요합니다. 수분을 유지하면 변비 예방과 대장 기능 향상에 도움이 됩니다.
- 작은 식사 빈도: 큰 식사보다 작고 자주 먹는 것이 소화에 도움을 줄 수 있습니다. 급격한 식사량 변화를 피하십시오.
- 유제품 섭취 주의: 일부 환자는 유제품을 섭취할 때 증상이 악화될 수 있으므로 유제품을 제한하거나 피하는 것이 좋을 수 있습니다.
- 알코올과 커피 제한: 알코올과 카페인이 대장에 자극을 줄 수 있으므로 가능한 한 제한하거나 피하십시오.
- 음식 민감도 확인: 어떤 음식이 증상을 악화시키는지를 주시하고 해당 음식을 피하는 것이 좋을 수 있습니다.
- 의료 전문가 상담: 개별적인 식사 권고 사항은 환자의 상태에 따라 다를 수 있으므로 의료 전문가와 상담하십시오.
허혈성 대장염은 환자마다 다르기 때문에 개별적인 식사 계획이 필요할 수 있습니다. 이러한 지침을 따르면 증상을 완화하고 대장 건강을 더 잘 관리할 수 있을 것입니다.
결론
허혈성 대장염은 대장의 혈액 공급 부족으로 인해 발생하는 질환으로, 증상의 심각성에 따라 다양한 치료 옵션이 있습니다. 또한, 건강한 생활 습관을 통해 예방할 수 있는 질환 중 하나입니다.
자주 묻는 질문
Q: 허혈성 대장염은 어떻게 발생하나요?
허혈성 대장염은 대장의 혈액 공급 부족으로 발생합니다. 주로 혈전, 혈관 협착, 또는 혈압 하강으로 인해 발생할 수 있습니다.
Q: 허혈성 대장염의 증상은 무엇인가요?
주요 증상으로 복통, 설사, 피혈변, 복부 부종이 있습니다.
Q: 허혈성 대장염을 진단하는 방법은 무엇인가요?
진단에는 의료 기록 확인, 신체 검사, 영상 검사, 대장 내시경이 포함될 수 있습니다.
Q: 허혈성 대장염은 치료 가능한가요?
네, 허혈성 대장염은 증상의 심각성에 따라 치료 가능합니다. 휴식, 약물 치료, 또는 수술 등이 치료 옵션으로 고려됩니다.
Q: 허혈성 대장염을 예방하기 위한 조치는 무엇인가요?
건강한 식습관, 운동, 금연 등의 조치를 통해 허혈성 대장염을 예방할 수 있습니다.
허혈성 대장염은 신속한 진단과 치료가 중요하며, 건강한 라이프스타일을 채택하여 예방할 수 있는 질환입니다. 추가적인 정보나 의문 사항이 있으면 전문의와 상담하는 것이 좋습니다.
'건강 정보' 카테고리의 다른 글
| 가을철 나들이 가기 좋은 날씨 털진드기로 인한 쯔쯔가무시 주의 (0) | 2023.10.25 |
|---|---|
| 실리악병 또는 셀리악병으로 인한 설사에 추천합니다. (2) | 2023.10.04 |
| 아불아병은 유튜브 컨텐츠 극중 주인공이 만든 가상의 병명입니다. (1) | 2023.10.01 |
| 전립선 비대증 없는 건강한 전립선을 유지하는 방법 (1) | 2023.09.29 |
| 많은 연예인들의 겪는 우울증의 진단과 치료법에 대해서 알아봅니다. (0) | 2023.04.23 |
댓글